编者按:肾活检在肾脏疾病的评估中具有极高价值,尤其对各类原发性肾小球疾病、不明原因的肾病综合征、狼疮性肾炎及不明原因的肾衰竭等病症的诊断极具助益。临床上,针对疑似代谢性肾病的患者极少开展肾活检,然而这位中年男性患者不仅接受了肾活检,还遭遇了误诊——历经十载,他从最初被诊断为“慢性血栓性微血管病(TMA)合并补体相关肾小球病”并接受血浆置换治疗,到最终确诊为“代谢性肾病”[1]。这段交织着“误诊与勘误”的曲折诊疗历程究竟是怎样的呢?它又会带来什么样的实践启示呢?

有奖竞答
积极参与讨论的幸运读者,
有机会获得蔡广研教授主编新书
《慢性肾脏病全程管理新进展》


一、病例回顾:10年肾病诊疗之路

初识患者:多重代谢异常与隐匿性肾损伤
患者男性,43岁,因“间歇性跛行(行走300米后出现腿部疼痛)、乏力及头痛”于2021年12月第二次就诊。患者自青少年期出现超重,30岁时确诊高血压,33岁(2011年)时因头晕、心悸入院,入院时血压高达280/120 mmHg,体重指数(BMI)为33 kg/m2,伴有蛋白尿(0.6 g/24 h)及肾功能不全[估算肾小球滤过率(eGFR) 34 ml/(min·1.73m2)]。初步诊断为慢性肾脏病(CKD)G3b期。
初步检查排除了血管炎、狼疮及肾动脉狭窄等继发性因素,但提示肝脾肿大及头臂干非狭窄性动脉粥样硬化。患者接受血管紧张素转换酶抑制剂(ACEI)、钙通道阻滞剂(CCB)及噻嗪类利尿剂治疗,但血压控制不佳,4个月后蛋白尿增至1.5 g/24h,肾功能未得到改善。
首次肾活检:指向“慢性血栓性微血管病”的诊断偏差
首次就诊后约3年(2014年),患者因蛋白尿加重接受肾活检。光镜显示:轻度系膜增生与增宽、节段性肾小球基底膜增厚、全球性及节段性肾小球硬化、中度局灶性间质纤维化与肾小管萎缩、动脉及小动脉硬化,以及“小动脉轻度血栓性改变”。免疫荧光提示系膜区及毛细血管壁轻度C3和纤维蛋白原沉积。结合抗β2-糖蛋白抗体轻度升高(20.3 RU/ml,正常<20RU/ml),基于这些发现,病理诊断为慢性血栓性微血管病(TMA),并考虑为补体相关性肾小球病,病理结果提示为“慢性血栓性微血管病(TMA)”及“补体相关肾小球病”。
尽管患者缺乏TMA的典型临床证据(如微血管病性溶血性贫血、血小板减少症),临床仍采纳了病理诊断,并对患者实施了血浆置换治疗。然而,该治疗并未改善其肾功能或蛋白尿水平。
病情进展:代谢紊乱加剧与多系统并发症
肾活检后3个半月,患者发生股浅动脉血栓,接受血栓切除术;3年半后(2017年)出现Q波心肌梗死,确诊2型糖尿病,同时伴下肢动脉闭塞性病变。实验室检查显示持续严重代谢异常:总胆固醇最高达7.90 mmol/L,甘油三酯6.47 mmol/L,尿酸690 μmol/L,空腹血糖8.2 mmol/L(表1)。尽管治疗方案不断调整(加用β受体阻滞剂、降尿酸药及双联抗血小板治疗),患者血压仍未达标,且因未坚持饮食控制及运动,CKD缓慢进展至G4期[eGFR 25 ml/(min·1.73m2)]。
表1. 患者随访期间主要实验室数据

注:eGFR,估计肾小球滤过率;HDL,高密度脂蛋白;LDL,低密度脂蛋白;
真相大白:肾活检复查揭示代谢性肾病本质
2021年12月,患者再次就诊时已具备心肾代谢综合征(CKM)的核心特征:中心性肥胖(BMI 38.6 kg/m2)、高血压、2型糖尿病、严重血脂异常、蛋白尿及CKD G4期。其临床表现(轻度蛋白尿、尿沉渣无明显异常、肾功能缓慢进展)与补体相关肾小球病的典型特征(血尿、快速进展性肾衰竭)明显不符,促使医师重新审视最初诊断。
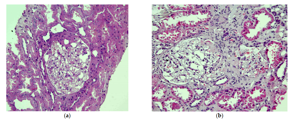
肾活检复查显示:37个肾小球中8个全球性硬化,余肾小球显著增大(肾小球肥大),2个伴节段性硬化(图1);中度间质纤维化与肾小管萎缩(20%),伴明显小管间质性炎症;小动脉壁增厚、肌层肥大,小叶间动脉严重内膜纤维化;一条动脉管腔内可见圆形-椭圆形脂质栓子(图2)。免疫荧光检查(IgA、IgG、IgM、C1q、C3、纤维蛋白原等)均为阴性,未发现TMA或补体沉积证据。最终诊断修正为“CKM相关代谢性肾病”。并予生活方式干预、ACEI改用血管紧张素受体拮抗剂(ARB)控制血压,加用钠-葡萄糖共转运蛋白2抑制剂(SGLT-2i)、胆固醇吸收抑制剂及二十碳五烯酸乙酯治疗。

图1. 肾小球改变:(a)肾小球肥大;(b)肾小球肥大伴继发性门周节段性肾小球硬化

图2. 动脉病变:(a)肾小球肥大,肾小管萎缩、间质纤维化,重度动脉硬化;动脉管腔见边界清、光学空白的圆形-椭圆形脂栓;(b)动脉内皮清晰,管壁内膜纤维化显著增厚;管腔见无内皮覆盖的圆形-椭圆形光学空白脂栓

二、“误诊-勘误”曲折历程带来的临床启示
CKM:被忽视的慢性肾病“隐形推手”
2023年,美国心脏协会(AHA)正式提出“心血管-肾脏-代谢综合征(CKM)”,将其定义为一个系统性疾病,其特征是代谢风险因素(如肥胖、糖尿病)、慢性肾病(CKD)和心血管系统之间的病理生理相互作用,最终导致多器官功能障碍和不良心血管事件风险增高[2]。本例患者从首次就诊起,其临床表现——中心性肥胖、高血压、血脂异常、蛋白尿及肾功能下降——与CKM综合征的诊断标准高度吻合。然而,初期诊疗未能识别这一系统性疾病,反映了临床实践中对CKM的整体观认识的不足。
CKM的病理生理核心在于多器官间的恶性“串扰”。慢性炎症、氧化应激、胰岛素抵抗和肾素-血管紧张素-醛固酮系统(RAAS)的过度激活,共同构成了一个复杂的调控网络,驱动心、肾、代谢系统的相互损害。在本例中,动脉管腔内的脂质栓子为代谢性肾病提供了关键线索,而长期未得到有效控制的高血压和高尿酸血症,则进一步加剧了肾脏的血流动力学紊乱和肾小管间质损伤,形成恶性循环。
肾活检解读:临床-病理“两张皮”的危害
本例误诊的核心原因在于病理解读脱离临床背景。首次活检报告将“小动脉轻度血栓性改变”解读为TMA,但缺乏TMA诊断必需的临床证据(如微血管病性溶血、血小板减少);免疫荧光的轻度C3沉积被过度解读为补体介导疾病,忽视了血清C3正常及无典型C3肾小球病的电镜改变。这一思维模式导致了不必要的血浆置换治疗,不仅未改善病情,还可能增加血栓风险(患者后续发生下肢动脉血栓)。
肾活检复查则充分结合了患者的CKM综合征背景:肾小球肥大是肥胖相关肾小球病的典型表现,脂质栓子提示代谢紊乱的直接肾脏损害,而阴性免疫荧光结果排除了免疫介导疾病。这一修正过程强调,病理诊断必须“以临床为纲”,综合考虑病史、实验室检查及疾病进展特点。
CKM管理:从“单器官治疗”到“整体协同调控”
修正诊断后,患者治疗方案调整为以CKM一体化管理为核心:改用血管紧张素受体拮抗剂(ARB)控制血压,加用钠-葡萄糖共转运蛋白2抑制剂(SGLT-2i)以改善血糖并提供心肾双重保护,联合胆固醇吸收抑制剂与二十碳五烯酸乙酯纠正血脂异常,并强化生活方式干预。这一方案体现了AHA对CKM综合征管理的最新理念,即通过多学科协作,实施以患者为中心的综合干预,打破各器官系统之间的病理生理恶性循环。
值得反思的是,患者长期依从性不佳(未坚持饮食控制及运动)加速了疾病进展。临床实践中,需加强对CKM患者的系统性管理,包括早期筛查、风险分层、多靶点药物治疗以及对生活方式和社会决定因素的干预,从而有效延缓CKD进展,降低心血管事件风险。

互动环节


欢迎大家下载《心肾代谢时讯》APP,
并在APP评论区留下您的学术观点,与更多同行一起交流思考。



扫码
二维码即可下载

结语

本病例历时10年的诊疗历程,为我们敲响了警钟:忽视患者的系统性代谢背景、过度依赖病理形态学改变,可能导致误诊误治。同时,CKM作为慢性肾病和心血管疾病的共同土壤,其早期识别与一体化管理亟待加强,这需要多学科协作及对“心-肾-代谢”轴的深入理解。
参考文献:
1.Kidney Dial. 2023, 3, 171-177.
2.Circulation, 2023,148(20), 1606-1635.

我要留言