胆固醇栓塞综合征(cholesterol emboli syndrome,CES)是一种全身性疾病,由主动脉及其主要分支到远端循环的动脉粥样硬化斑块物质如胆固醇结晶脱落引起,可导致多个器官的缺血性和炎性损害。当胆固醇结晶栓塞累及肾脏时被称为动脉粥样硬化性肾病(ARD)或胆固醇ARD。CES需与常见的动脉栓塞综合征相鉴别。近年来,由于诊断水平提高、动脉粥样硬化患者的预期寿命的增加以及侵入性血管手术数量的增加,对CES的诊断率亦明显提高。现分享1例胆固醇结晶栓塞综合征导致的肾损伤病例,以供参考。
病例摘要
男性,67岁。主诉:冠状动脉造影后间断双下肢疼痛2个月,发现血肌酐升高40天。
现病史
2个月前因“冠心病、心绞痛”于当地医院行冠状动脉造影(造影剂泛影葡胺)、球囊扩张、涂层支架植入术,术后常规加用抗血小板药物。术前血、尿常规及肾功能均正常。冠脉造影后第5天较大量活动时出现双下肢疼痛,为腓肠肌痉挛性疼痛;同时发现双大腿伸侧皮肤指甲大小的淤斑,足趾远端皮肤颜色变紫并疼痛。当地医生未能明确诊断,上述症状间断出现,40天前查血肌酐SCr为216 μmo/L,血压130~160/80~90 mmHg,不伴肉眼血尿及尿量减少,转入我院门诊初步化验:血常规WBC 9.18×109/L,Hb 113 g/L,PLT 177×109/L,嗜酸性粒细胞占比6.8%,嗜酸性粒细胞计数0.62×109/L,ESR 23 mm/h。尿常规:尿蛋白(+),尿红细胞0~1/HP,尿比重1.009,尿糖(-),尿蛋白定量0.74 g/24 h。肾功能:SCr 325 μmol/L,eGFR 17.7 ml/(min·1.73m2),发病以来食欲减退、乏力明显,体重下降7~8 kg。
既往史
高血压史5年,血压最高170/100 mmHg,平时血压控制在120~130/70~80 mmHg。2年前因持续胸痛诊断下壁心肌梗死。
入院查体
血压180/90 mmHg。浅表淋巴结未触及肿大,心肺未及异常体征。肝脾不大,腹部未闻及血管杂音。双下肢无水肿,双大腿伸侧可见数个直径1~3 cm网状青斑,双腿下垂时足趾皮肤蓝紫色斑点,抬高后消失。双侧股动脉、腘动脉及足背动脉搏动一致,手足无坏疽表现。
入院诊断
急性肾损伤原因待查;冠心病;不稳定心绞痛;冠状动脉球囊扩张和支架植入术后;心功能Ⅱ级。
临床诊治经过
本例患者在冠脉介入治疗后短期内血肌酐进行性升高,急性肾衰蝎明确。冠脉造影后出现急性肾衰竭主要考虑与以下疾病鉴别,并制定相关检查以明确。
(1)造影剂肾病:一般在造影后短时间出现(1~3天),造影剂肾病本质是肾小管坏死,通常发生在使用造影剂后24~72小时,1周达到高峰,数周内恢复正常,但本例患者病程在造影后3周出现,显然与造影剂肾病不符合,基本排除。
(2)胆固醇栓塞综合征:是血管外科或介入术、抗凝溶栓治疗后的一种常见并发症。主要临床特点是术后数周到数月出现,典型临床特点是急性肾衰蝎、蓝趾综合征和嗜酸性粒细胞增多三联征。本例患者具备上述特点,首先考虑该病,患者应进一步皮肤或肾活检在组织中找到胆固醇结晶以明确,或眼底检查视网膜动脉是否有胆固醇栓塞的证据,同时应当行血管彩超检查明确主动脉是否有血管硬化的基础,以及反应硬化炎症的指标同型半胱氨酸。
(3)过敏性间质肾炎:本例患者用药较多,特别是应用非甾体抗炎药(NSAID),并且有嗜酸性粒细胞增多(提示有可能过敏因素)。急性肾衰竭,尿沉渣没有明显的血尿蛋白尿亦提示可能肾小管间质功能受损的引起的急性肾衰竭,因此本例患者过敏性间质肾炎不排除,进一步完善肾小管功能检查,条件许可应当肾活检明确。但皮疹特点不是过敏性皮疹的典型改变。
(4)本例患者为老年急性肾衰竭,伴有贫血、食欲减退、乏力、消瘦等症状,小血管炎需排除,应当查抗中性粒细胞抗体(ANCA)。
入院后完善以下检查
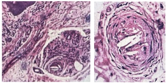
肾小管功能:尿NAG酶12 U/L,尿α1-微球蛋白14.1 mg/L。IgG 13 g/L、IgA 2.48 g/L、IgM 1.11 g/L、C3 1.07 g/L、C4 0.25 g/L,ANCA(-)。肾B超:双肾结构大致正常。血管彩超:腹主动脉、双下肢动脉、颈部动脉多发斑块,双侧球部近颈内动脉起始部狭窄(左侧约70%,右侧>70%),双肾动脉未见狭窄,双肾内动脉阻力指数增高。眼底检查:高血压眼底Ⅱ期,眼底血管未见胆固醇结晶。入院后3天行左足第2趾跖面皮肤活检,在皮下组织小动脉两面凸的裂隙(图1),周围有大量慢性炎症细胞浸润。因此最后诊断符合胆固醇结晶栓塞综合征。
图1. 患者皮肤活检结果
考虑到患者已诊断明确,且肾活检存在一定的风险(老年,急性肾脏病,一般状况差且同时应用抗血小板药物),本例患者并未接受肾活检。临床制定了如下治疗方案:尽量避免再次介入或血管手术、抗凝和溶栓,积极控制血压、血脂以及抗血小板治疗。但患者病情仍继续恶化,1周后血肌酐进行性升高至394 μmol/L,外周血嗜酸性粒细胞升高至0.73×109/L。入院后第13天加用泼尼松30 mg每日1次,治疗4天后患者外周血嗜酸性粒细胞正常,血肌酐逐渐降至267 μmol/L,网状青斑、蓝趾以及活动时下肢疼痛均明显好转,于加用泼尼松一周后减为15 mg/d,1个月后血肌酐降至206 μmol/L,患者出院。后患者因发生严重的带状疱疹停用泼尼松,再次出现网状青斑下肢疼痛,血肌酐升至390 μmol/L,随访半年,血肌酐维持 400μmol/L左右。
最终诊断
胆固醇结晶栓塞综合征;急性肾损伤;冠心病;不稳定心绞痛;冠状动脉球囊扩张和支架植入术后;心功能Ⅱ级。
胆固醇栓塞综合征并不少见,尸体解剖报道在65岁以上伴有轻度血管硬化老年人中胆固醇栓塞综合征发生率4%,急性肾衰竭患者中4%~10%考虑为胆固醇栓塞,但目前临床漏诊率较高,因此通过本病例,临床应提高对胆固醇栓塞综合征的认识[1]。
胆固醇栓塞综合征是由于主动脉或其他大动脉粥样斑块脱落造成引起的全身脏器栓塞性疾病。多发生于有血管硬化危险因素患者群体,在血管介入、外科手术,或者抗凝溶栓等导致血管粥样硬化斑块破裂或影响斑块修复愈合的情况下,引起胆固醇结晶阵发脱落并随血流栓塞至中枢神经、皮肤肌肉、肾脏、消化道等脏器小动脉(直径100~200 μm)。一方面会引起脏器缺血祥改变,如卒中、蓝趾综合征、缺血性肠病、急性肾衰竭等临床表现;另一方面,胆固醇结晶趋化炎症细胞至其阻塞的血管周围,会引起嗜酸性粒细胞增多,甚至激活补体,导致低补体血症,诱发全身炎症反应,引起关节肌肉酸痛、低热、乏力、消瘦等非特异症状。肾小动脉发生胆固醇栓塞主要表现为急性或亚急性肾衰竭,多数进展至终末肾衰竭(ESRD),预后差。可伴有不同程度的血尿、蛋白尿,甚至个别表现为肾病综合征,其病理为局灶节段肾小球硬化症。同时出现“急性肾衰竭、蓝趾综合征和嗜酸性粒细胞增多”三联征并不常见,对于临床出现上述危险因素和急性肾损伤均应怀疑到本病,而真正确诊需要病理活检。尽管理论上任何受累器官均可活检,但是考虑到安全性,皮肤和肌肉活检为首选[2,3]。
胆固醇栓塞综合征目前尚无特异性治疗手段,临床管理主要聚焦于两个维度:一是受累脏器的支持治疗,如肾衰竭后透析治疗。二是动脉粥样硬化斑块稳定干预,旨在降低胆固醇结晶脱落风险。具体干预措施包括:强化生活方式管理(戒烟限酒)、严格控制血压及血脂水平,可通过他汀类药物强化降脂以稳定易损斑块。除非存在其他明确需要抗凝指征(如房颤),一般需要停用抗凝溶栓治疗。部分情况下可考虑行外科主动脉搭桥或切除硬化斑块等外科治疗。
一个有争议的治疗是采用糖皮质激素。在胆固醇结晶栓塞小动脉后能趋化炎症细胞浸润,正如本例患者病理所示,胆固醇结晶阻塞的血管周围聚集了大量炎症细胞和纤维化。基于以上理论,有人认为可以应用激素和免疫抑制剂,但鉴于实际疗效不肯定和严重副作用,是否使用还有争议。本例患者使用了激素,在取得疗效的同时,合并产生了严重的带状疱疹,导致停药、病情反复。因此对于这类患者使用激素应当采取谨慎态度。
参考文献:
[1] Shah N, Nagalli S. Cholesterol Emboli. 2024 Jan 23. In: StatPearls [Internet]. Treasure Island (FL): StatPearls Publishing; 2025 Jan–.
[2] Quinones A, Saric M. The cholesterol emboli syndrome in atherosclerosis. Curr Atheroscler Rep. 2013 Apr;15(4):315.
[3] Ozkok A. Cholesterol-embolization syndrome: current perspectives. Vasc Health Risk Manag. 2019 Jul 8;15:209-220.

我要留言