恶性高血压(malignant hypertension,MHT)是指血压急剧升高,舒张压≥130 mmHg,并伴有显著视网膜病变的高血压急症,以全身微血管损伤为病理特征,可影响肾脏、脑等重要脏器。其中,肾脏是最易受累的靶器官,有63%~90%的恶性高血压患者存在不同程度的肾脏结构和功能损害,肾功能损伤常进展迅速,预后差,出现急进性肾炎综合征。恶性高血压肾损伤多见于中青年,由于其起病急、进展快,若治疗不及时可迅速进展至终末期肾脏病(ESRD),病死率高。因此,早期诊断、早期治疗对患者有重要意义。
一、病例摘要
男性,42岁。主诉:头晕、视物模糊1个月,少尿3天。患者1个月前无明显诱因出现头晕及视物模糊,1周前当地医院检查示血压250/170 mmHg,尿常规:尿蛋白(+++),红细胞(++)。给予硝苯地平10 mg每日3次治疗,病情无缓解。3天前患者出现少尿,尿量200~300 ml/d,夜间不能平卧。为进一步诊治住院治疗。自发病以来,患者食欲差,无肉眼血尿与腰痛,大便正常,体重减轻5 kg。
既往史和家族史:高血压10年,平时血压150~160/100~110 mmHg,未服用药物治疗。否认糖尿病史。既往未做过尿化验。父母均患高血压。
入院查体:双上肢血压均为200/130 mmHg。贫血貌,上肢可见多个淤斑及出血点,巩膜无黄染。双下肺少量湿啰音。心界饱满,心率120次/分,律齐,可闻及S3,未闻及病理性杂音。全腹无压痛及反跳痛,肝脾不大,移动性独音(-)。双下肢及腰骶部无水肿。
辅助检查:血常规:Hb 89 g/L,PLT 50×109/L,WBC 6.0×109/L,网织红细胞2.0%,末梢血未见破碎红细胞。凝血功能:P正常,FIB 4.62 g/L,FDP 20 mg/L,3P(+),D-二聚体1.9 mg/L。尿化验:蛋白(++++),RBC 40~60/HP,WBC 4~8/HP;蛋白定量0.9 g/d。尿含铁血黄素试验(-),直接Coombs试验(-)。肝功能正常,BUN 31.8 mmol/L,血肌酐 1023.21 μmol/L。ANA、ANCA、抗GBM抗体均为阴性。B超显示双肾大小正常。肾动脉彩超检查显示双肾动脉未见狭窄。超声心动图见左室扩大(左室舒张末期内径为5.8 cm),左室射血分数(LVEF)74%。眼底:双侧动脉呈铜丝状,视盘水肿,有团状棉絮样渗出。
初步诊断:恶性高血压;急性肾衰竭;左心衰竭;全血细胞减少原因待查。
二、临床诊治经过
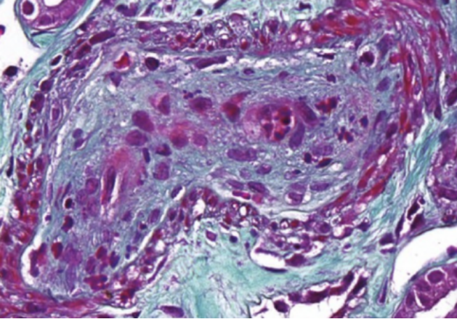
入院后给予血液透析及硝普钠、硝苯地平控释片、哌唑嗪等降压药物足量治疗,患者血压难以控制。于1周之后加用卡托普利6.25 mg,每日2次。逐渐调整此药物剂量至25 mg,每日3次。此后患者血压得到较好控制,停用静脉用降压药物,血压逐渐降至140~150/90~100 mmHg。行肾穿刺活检。肾脏病理示免疫荧光阴性;光镜见20个肾小球,肾小球无新月体形成,5个肾小球可见缺血性硬化,其余肾小球基底膜弥漫皱缩,部分肾小管上皮细胞脱落、再生,肾小管多灶状萎缩,肾间质多灶状纤维化,小叶间动脉管壁内膜高度增生,呈“葱皮样”增厚(图1),管腔狭窄。最终病理诊断为恶性高血压肾损害。根据病理表现,结合患者为青年患者,有多年高血压史、临床表现及辅助检查均不支持内分泌性高血压、肾血管性高血压及肾实质性高血压,考虑高血压的病因为原发性高血压。
图1. 患者肾脏病理结果
经过降压治疗,1周后血小板恢复正常,2周后尿量逐渐增加,3周后尿量达2000 ml,4个月后脱离透析,9个月后血肌酐降至280 μmol/L,血红蛋白达125 g/L,在后续随访4年期间患者肾功能稳定在此水平。
最终诊断:原发性高血压,极高危;恶性高血压肾损伤;血栓性微血管病;急性肾损伤;高血压性心脏病;窦性心律;左室扩大;心功能Ⅲ级→Ⅱ级(NYHA 分级)。
三、病例分析
本文提供了恶性高血压肾损害的范例。恶性高血压是以重度高血压(舒张压≥130 mmHg)及合并眼底出血、渗出和(或)双侧视盘水肿为表现的一种临床综合征。常伴有心、脑及肾脏等高血压靶器官受累表现,其中63%~90%患者可有肾脏损害,常表现为急性或慢性肾衰竭。恶性高血压是可治之症,常累及肾脏、心脏及脑血管,但如不经过积极治疗,患者病情可快速进展乃至死亡。然而,临床上对本病的误、漏诊现象比较严重,甚至延误治疗。
确诊恶性高血压需满足以下两个条件:①血压急剧升高达舒张压≥130 mmHg;②眼底病变呈现出血、渗出和(或)视盘水肿。本例在临床上可以明确诊断为恶性高血压。随后需在降压的同时,对其病因进行鉴别。恶性高血压的病因包括原发性高血压和继发性高血压。其中继发性恶性高血压以肾实质性疾病、肾动脉狭窄、原发性醛固酮增多症等为最常见原因,占全部病例的60%~80%。肾实质疾病是最主要原因,尤其是IgA肾病更容易出现恶性高血压。由于本例患者有高血压家族史、10年的高血压病史、肾脏病理检查査未见到肾小球肾炎表现,也没有其他继发性高血压证据,因此考虑病因为原发性高血压,系高血压长期未能得到有效控制,血压恶化导致发病。鉴于原发性恶性高血压和肾实质性恶性高血压治疗策略可能存在差异,因此对二者进行鉴别意义重大(表1)。在血压得到有效控制后,如果尿蛋白量仍大于3.5 g/d,则提示肾实质性恶性高血压可能性大[1,2]。
表1. 原发性MPT与肾实质性MPT鉴别要点
此外,恶性高血压是血栓性微血管病(TMA)的一种类型,即病变核心是血管内皮细胞损伤,血管内皮细胞是各级血管的重要组成部分,可生成和保护基膜,对肾小球而言,又是肾小球滤过膜的重要成分。内皮细胞对损伤的反应模式包括增生、肿胀、变性、凋亡。其临床表现与溶血性尿毒症综合征(HUS)和血栓性血小板减少性紫癜(TTP)等常见TMA相似,但是,治疗方策略不同,因此,诊断MPT应该首先与HUS和TTP相鉴别。HUS的典型表现包括微血管性溶血性贫血、血小板减少和急性肾衰竭,TT除了具有HUS的临床表现以外,还可以合并发热和神志异常。当这两种病合并严重高血压时,与MHT鉴别困难。研究显示,H因子缺乏或抗H因子的抗体等因素是部分HUS病例的致病因素,而vWF剪切酶(ADAMTS-13)缺乏或抗vWF剪切酶抗体是TTP的致病因素,因此检测H因子、vWF剪切酶(ADAMTS-13)及其相应的自身抗体对鉴别三者有一定帮助[3,4]。
降压治疗是本病的主要治疗手段,是治疗成功的关键。在降压治疗过程中需要重视以下几个关键环节:①适度降压、勿过快过猛。对于无心衰、高血压脑病、高血压危象等高血压急症患者,可在2~6小时内,通过静脉使用降压药物使血压缓慢降至160~170/100~105 mmHg或血压下降最大幅度控制在治疗前血压的25%以内。以免降压过快诱发心、脑和肾等重要脏器缺血;当MHT合并上述高血压急症者,则应在几分钟至几小时内使血压下降至安全水平,以免发生意外。然后在几天到3个月内使血压达到低于140/90 mmHg水平。②联合用药、优先选用ACEI/ARB。恶性高血压患者常常表现为难治性高血压,多数患者需要两种或两种以上药物联合应用,才能够达到比较好的降压治疗效果。此外,肾素-血管紧张素系统(RAS)高度活化是其发生机制中的重要环节,ACEI/ARB可以有效抑制该系统,有效的控制血压,促使肾功能恢复,因此,无论患者肾功能如何,都应优先选用。但在治疗过程中,应该注意监测肾功能与血钾的变化。③慎用利尿剂。由于高血压导致的压力性利尿,患者可表现血容量不足,此时不宜使用利尿剂;否则会加重血容量不足状态,进一步激活RAS系统,不利于血压的控制。但当肾功能受损出现水钠潴留或心衰时,可小心地联合使用利尿剂。④透析中谨慎脱水。接受透析治疗的患者,在透析过程中应避免过度脱水。过度脱水一方面导致低血压,造成肾脏低灌注,缺血性肾脏损伤,不利于肾功能的恢复;另一方面可以激活RAS系统,造成血压急剧升高,不利于控制血压[5,6]。
部分原发性恶性高血压患者,经过有效降压治疗后肾功能可以逆转。但是,这些患者肾功能恢复得比较慢,常常需要2~4个月才可摆脱透析治疗(如本例患者),少数患者在1年后仍可脱离透析。因此,建议在治疗1年后仍不能脱离透析,方可考虑做肾移植。
参考文献
[1] Boulestreau R, piewak M, Januszewicz A, Kreutz R, Guzik TJ, Januszewicz M, Muiesan ML, Persu A, Sarafidis P, Volpe M, Zaleska- mijewska A, van den Born BH, Messerli FH. Malignant Hypertension:A Systemic Cardiovascular Disease: JACC Review Topic of the Week. J Am Coll Cardiol. 2024 Apr 30;83(17):1688-1701. [2] Raine AE. Hypertension and the kidney. Br Med Bull. 1994 Apr;50(2):322-41. [3] Kerr H, Richards A. Complement-mediated injury and protection of endothelium: lessons from atypical haemolytic uraemic syndrome. Immunobiology. 2012 Feb;217(2):195-203. [4] Mennuni S, Rubattu S, Pierelli G, Tocci G, Fofi C, Volpe M. Hypertension and kidneys: unraveling complex molecular mechanisms underlying hypertensive renal damage. J Hum Hypertens. 2014 Feb;28(2):74-9. [5] Lewek J, Bielecka-D browa A, Maciejewski M, Banach M. Pharmacological management of malignant hypertension. Expert Opin Pharmacother. 2020 Jul;21(10):1189-1192. [6] Blatsos A, Alalwan AA, Razeem M, Laird A. Acute Kidney Injury Secondary to Hypertension-Related Thrombotic Microangiopathy: A Case Report and Literature Review. Cureus. 2024 Oct 8;16(10):e71067.

我要留言